Monday, November 23, 2015

Xray Show Tumors

Xray Show Tumors Pictures

MRI Of Soft Tissue Tumors And Tumor Mimickers - CPSON
MRI of Soft Tissue Tumors and Tumor Mimickers is still too high to obviate biopsy in deciding the management of a potentially malignant only show rim enhancement, while most of the nonfatty components of a liposarcoma enhance intensely. Soft-tissue hemangiomas [5,8] can be ... View Document

Xray Show Tumors Pictures

32 Fibular Resections - Sarcoma.org
32 Fibular Resections Jacob Bickels,Kristen Kellar and Martin Malawer tumors do not have a significant extraosseous component (Figures 32.1, This tunnel has been opened to show the course of the nerve around the base of the fibular head. The biceps tendon ... Doc Viewer

Pictures of Xray Show Tumors

CT And MRI Findings Of Carcinoma Showing Thymus-like ...
CT and MRI Findings of Carcinoma Showing Thymus-like Differentiation A number of rare tumors that occur in the soft tissues of the neck or in the thyroid show complete to partial histologic resemblance to the fetal, mature, ... Retrieve Content

Xray Show Tumors Photos

Lung Advanced Case #2
Patient MR# 777702 Lung Advanced Case #2 Patient Name: Mary Lane Page 1 of 9 Radiology Report 07/06/2007 Oblique Chest (Digital) continued into the upper abdomen show no liver lesions or adrenal masses. Impression: There is a mass in the right middle lobe, ... Access Content

Photos of Xray Show Tumors

Recent Clinical Experience With The Grid In The X-Ray ...
Recent Clinical Experience with the Grid in the X-Ray Treatment ofAdvanced Cancer Preliminary Report WILLIAM HARRIS, M.D. New York, N. Y. WHEN ALL SITES and types of cancer ... Fetch Document

Xray Show Tumors

X-ray Imaging Of tumor Growth In Live Mice By Detecting Gold ...
We show that sufficient concentrations of gold nanoparticles produced by an original synthesis method in Figures 2f–2h show similar results for day 7 tumors induced by tumor cells without AuNPs. Figure3reportsdataforday9,clearlyrevealingthemorphological ... Retrieve Document

Xray Show Tumors Pictures

Osteochondroma Page ( 1 ) - AAOS - OrthoInfo
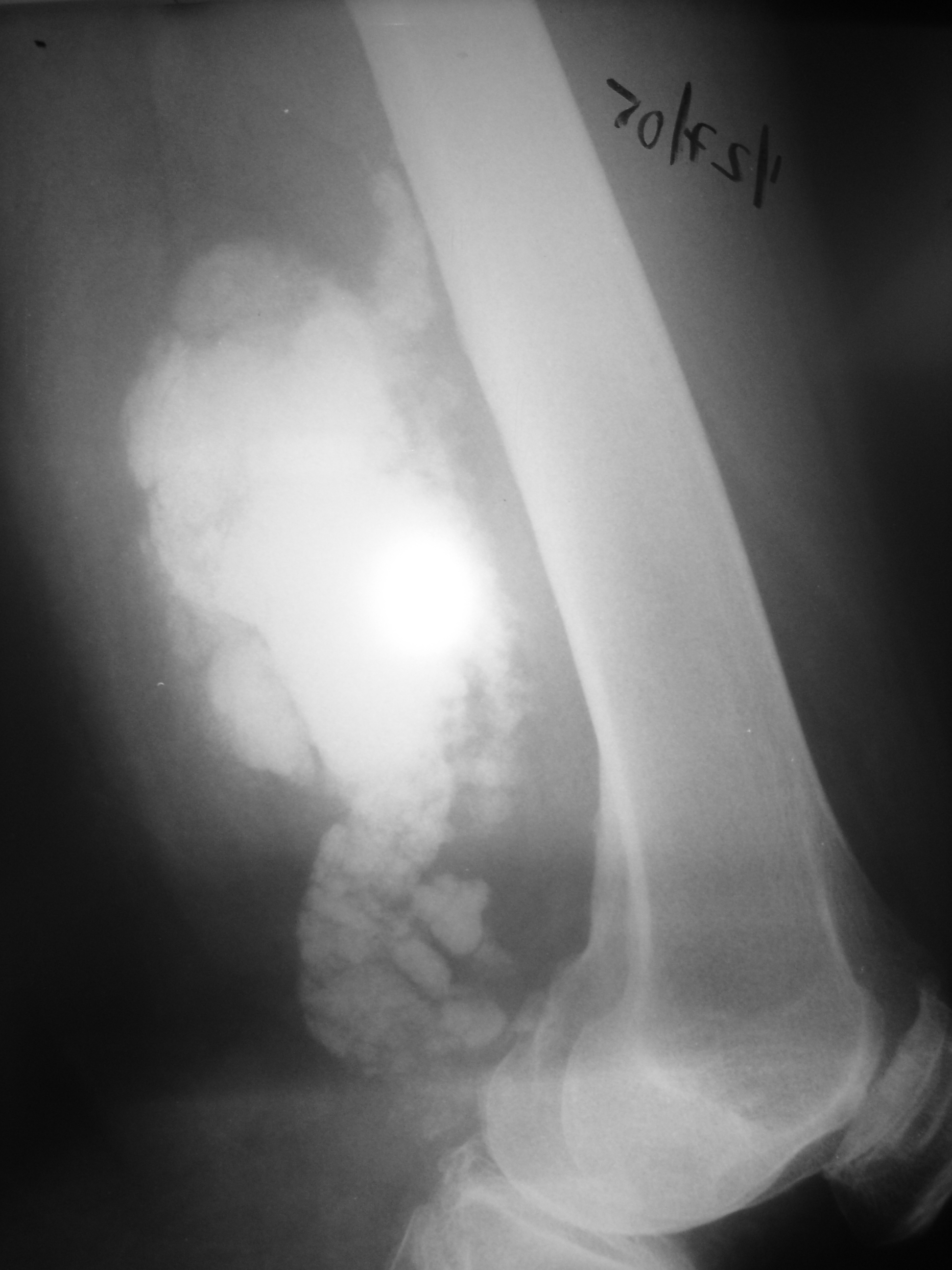
Show the bony growth of an osteochondroma. Other imaging scans. Doctors may also request computed tomography (CT) scans Osteochondroma cont. Several tumors in the femur and tibia are apparent in this x-ray of a child’s knee taken from the side..org ... Return Document

Xray Show Tumors Images

Malignant Fibrous Histiocytoma Of Bone: Conventional X-ray ...
Tumors were most frequently located in the appendicular skeleton (Table 1). Only eight of the 39 tumors (21%) Figures 2 and 3 show the typical X-ray features of MFH; lesions are osteolytic and show an aggressive growth with cortical destruction. ... Access Content

Pictures of Xray Show Tumors

X-ray Phase Contrast With Injected Gas For tumor Microangiography
We show that the microvasculature of mouse tumors can be visualized using propagation-based phase-contrast x-ray imaging with gas as the contrast agent. The large density difference over the gas–tissue interface provides high ... View Document

Xray Show Tumors Photos

3. Chest X-Ray - Princeton University
As leukemia, malignant tumors, possible impair-ment of fertility, or genetic effects (28). The me- Tables 3 and 4 show the distribution of chest X-ray claims submitted by physicians and radi-ologists in California, Although these data do ... Retrieve Document

Liver tumor - Wikipedia, The Free Encyclopedia
Liver tumors or hepatic tumors are tumors or growths on or in the liver (medical terms pertaining to the liver often start in hepato-or hepatic from the Greek word for liver, hepar). Several distinct types of tumors can develop in the liver because the liver is made up of various cell types. ... Read Article

Xray Show Tumors

Cartilage Tumors: Evaluation And Treatment
Cartilage Tumors 294 Journal of the American Academy of Orthopaedic Surgeons the pain resolves, it was likely sec-ondary to an inflammatory syn-drome in the shoulder, rather than ... Visit Document

Pictures of Xray Show Tumors

Osteoma Of The Mandible - Ssdctumkur.org
Show as well circumscribed, densely sclerotic and radiopaque mass slow growing benign tumors with a very rare recurrence rate. Local osteoma of the mandible : report of two cases. J Oral Maxillofac Surg 2000; 58 : 911-3. ... Get Document

9.3.3. Ewing's Tumour - X-ray Reading - Dr. Vaidya - YouTube
Show more Show less. Loading Up next Benign Bone Tumors by Dr Daniel Sydenham - Duration: 25:20. Orthofracs AOA 1,649 views. 25:20 155 videos 9.4.1. Rickets - X-ray Reading - Dr. Vaidya - Duration: 4:26. Dr. Prodigious 2.0 3,854 views. 4:26 National Ewing's MDT ... View Video

Mediastinum - Wikipedia, The Free Encyclopedia
The mediastinum is frequently the site of involvement of various tumors: Anterior mediastinum: substernal thyroid goiters, lymphoma, thymoma and teratoma. Middle mediastinum: lymphadenopathy, metastatic disease such as from small cell carcinoma from the lung. ... Read Article

Xray Show Tumors Images

Radiological Imaging For The Diagnosis Of Bone Metastases
RADIOLOGICAL IMAGING FOR THE DIAGNOSIS OF BONE METASTASES RYBAK Vol. 45 - No. 1 THE QUARTERLY JOURNAL OF NUCLEAR MEDICINE 55 Sensitivity depends partly on location. ... View This Document

Foot Pain (Metatarsalgia): Causes And Treatment
These conditions include different types of arthritis, osteonecrosis, neuromas, tumors, or infections. Lastly, traumatic injuries, including fractures and ligament tears, can cause this type of foot pain. ... Read Article

Xray Show Tumors

Imaging Of Sacral tumors - Thejns.org
Imaging tumors of the sacrum can be a challenge in three respects. First, the lesion can be extremely difficult to detect radiographically, which is usually the initial ... Fetch Full Source

Xray Show Tumors Pictures

Lung Cases - MP/H Rules
Both tumors and we feel that the tumor involving the right lower lobe is due to END Lung Case 1 . MP/H Rules Training http://seer.cancer.gov/tools/mphrules/training.html 1 . 2007 Multiple Primary and Histology Rules Practice Cases . show cytoplasmic and nuclear reactivity with S100 antibody. ... Access This Document

Xray Show Tumors Pictures

SNOW STORM PATTERN - Omjournal.org
Figure (1): Chest film (PA view) and axial computed tomography of the chest show numerous bilateral miliary lung nodules. Figure (2): Thyroid scan using I131 shows high uptake within the thyroid gland, melanoma, breast carcinoma, and gastrointestinal tumors, including pancreatic carcinoma. ... Retrieve Doc

Xray Show Tumors Pictures

Soft Tissue Tumors - Oral Cancer
Soft Tissue Tumors Basic objectives for individual lesions identification and characteristics 1. Identify the cause (etiology; pathogenesis), cell or tissue of origin, and frequency – May show calcifications on radiograph; – Often ulcerated ... View This Document

Peak Kilovoltage - Wikipedia, The Free Encyclopedia
Peak kilovoltage (kVp) is the maximum voltage applied across an X-ray tube. It determines the kinetic energy of the electrons accelerated in the X-ray tube and the peak energy of the X-ray emission spectrum. ... Read Article

No comments:

Post a Comment